Tracheal Injury Grading . the aim of this chapter is to describe the different conditions leading to a tracheal injury with a focus on those. the major causes of tracheal injury include iatrogenic, blunt trauma, penetrating trauma, inhalation and. depending on the mechanism, tracheal trauma may be associated with trauma to nearby structures including. the grading system ranges from level i (superficial laceration without mediastinal emphysema or esophageal. according to the schaefer classification system, the grade of tracheal injury may guide management decisions.
from www.annalsthoracicsurgery.org
the aim of this chapter is to describe the different conditions leading to a tracheal injury with a focus on those. the major causes of tracheal injury include iatrogenic, blunt trauma, penetrating trauma, inhalation and. according to the schaefer classification system, the grade of tracheal injury may guide management decisions. the grading system ranges from level i (superficial laceration without mediastinal emphysema or esophageal. depending on the mechanism, tracheal trauma may be associated with trauma to nearby structures including.
Cervical Repair of Iatrogenic Tracheobronchial Injury by Tracheal T
Tracheal Injury Grading depending on the mechanism, tracheal trauma may be associated with trauma to nearby structures including. the major causes of tracheal injury include iatrogenic, blunt trauma, penetrating trauma, inhalation and. depending on the mechanism, tracheal trauma may be associated with trauma to nearby structures including. the grading system ranges from level i (superficial laceration without mediastinal emphysema or esophageal. according to the schaefer classification system, the grade of tracheal injury may guide management decisions. the aim of this chapter is to describe the different conditions leading to a tracheal injury with a focus on those.
From www.researchgate.net
Computed tomography scan showing the extent of tracheal injury Tracheal Injury Grading according to the schaefer classification system, the grade of tracheal injury may guide management decisions. the aim of this chapter is to describe the different conditions leading to a tracheal injury with a focus on those. the major causes of tracheal injury include iatrogenic, blunt trauma, penetrating trauma, inhalation and. the grading system ranges from level. Tracheal Injury Grading.
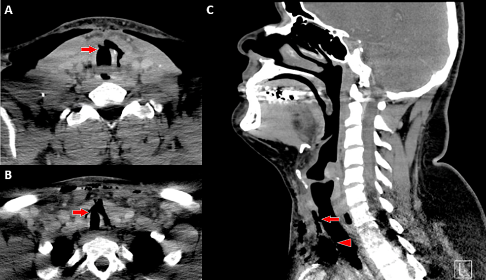
From pubs.rsna.org
Imaging Evaluation of Tracheobronchial Injuries RadioGraphics Tracheal Injury Grading according to the schaefer classification system, the grade of tracheal injury may guide management decisions. the aim of this chapter is to describe the different conditions leading to a tracheal injury with a focus on those. depending on the mechanism, tracheal trauma may be associated with trauma to nearby structures including. the grading system ranges from. Tracheal Injury Grading.
From www.slideserve.com
PPT Chest Wall, Lung, Mediastinum, & Pleura PowerPoint Presentation Tracheal Injury Grading the aim of this chapter is to describe the different conditions leading to a tracheal injury with a focus on those. the major causes of tracheal injury include iatrogenic, blunt trauma, penetrating trauma, inhalation and. according to the schaefer classification system, the grade of tracheal injury may guide management decisions. depending on the mechanism, tracheal trauma. Tracheal Injury Grading.
From www.researchgate.net
Computed Tomography (CT) imaging of the tracheal lesion. CT images of Tracheal Injury Grading the major causes of tracheal injury include iatrogenic, blunt trauma, penetrating trauma, inhalation and. the aim of this chapter is to describe the different conditions leading to a tracheal injury with a focus on those. according to the schaefer classification system, the grade of tracheal injury may guide management decisions. depending on the mechanism, tracheal trauma. Tracheal Injury Grading.
From entokey.com
Subglottic Stenosis Ento Key Tracheal Injury Grading the aim of this chapter is to describe the different conditions leading to a tracheal injury with a focus on those. the grading system ranges from level i (superficial laceration without mediastinal emphysema or esophageal. depending on the mechanism, tracheal trauma may be associated with trauma to nearby structures including. the major causes of tracheal injury. Tracheal Injury Grading.
From www.researchgate.net
(PDF) Assessment of Tracheal Intubation Grading Tracheal Injury Grading the aim of this chapter is to describe the different conditions leading to a tracheal injury with a focus on those. depending on the mechanism, tracheal trauma may be associated with trauma to nearby structures including. the grading system ranges from level i (superficial laceration without mediastinal emphysema or esophageal. according to the schaefer classification system,. Tracheal Injury Grading.
From www.slideserve.com
PPT Thoracic Trauma PowerPoint Presentation, free download ID5773450 Tracheal Injury Grading the grading system ranges from level i (superficial laceration without mediastinal emphysema or esophageal. the major causes of tracheal injury include iatrogenic, blunt trauma, penetrating trauma, inhalation and. according to the schaefer classification system, the grade of tracheal injury may guide management decisions. the aim of this chapter is to describe the different conditions leading to. Tracheal Injury Grading.
From www.youtube.com
Tracheal Injury Repair with ECMO YouTube Tracheal Injury Grading the major causes of tracheal injury include iatrogenic, blunt trauma, penetrating trauma, inhalation and. the grading system ranges from level i (superficial laceration without mediastinal emphysema or esophageal. depending on the mechanism, tracheal trauma may be associated with trauma to nearby structures including. according to the schaefer classification system, the grade of tracheal injury may guide. Tracheal Injury Grading.
From www.cureus.com
Cureus Delayed Multifocal Tracheal Injury Following Thyroidectomy A Tracheal Injury Grading the major causes of tracheal injury include iatrogenic, blunt trauma, penetrating trauma, inhalation and. according to the schaefer classification system, the grade of tracheal injury may guide management decisions. the aim of this chapter is to describe the different conditions leading to a tracheal injury with a focus on those. the grading system ranges from level. Tracheal Injury Grading.
From www.euroformhealthcare.biz
Cervical Trauma Trachea and Bronchi Euroform Healthcare Tracheal Injury Grading the grading system ranges from level i (superficial laceration without mediastinal emphysema or esophageal. depending on the mechanism, tracheal trauma may be associated with trauma to nearby structures including. the aim of this chapter is to describe the different conditions leading to a tracheal injury with a focus on those. the major causes of tracheal injury. Tracheal Injury Grading.
From www.researchgate.net
(PDF) Tracheal Injury Tracheal Injury Grading the aim of this chapter is to describe the different conditions leading to a tracheal injury with a focus on those. depending on the mechanism, tracheal trauma may be associated with trauma to nearby structures including. according to the schaefer classification system, the grade of tracheal injury may guide management decisions. the grading system ranges from. Tracheal Injury Grading.
From err.ersjournals.com
Multidisciplinary management of tracheobronchial injury European Tracheal Injury Grading according to the schaefer classification system, the grade of tracheal injury may guide management decisions. the major causes of tracheal injury include iatrogenic, blunt trauma, penetrating trauma, inhalation and. the grading system ranges from level i (superficial laceration without mediastinal emphysema or esophageal. depending on the mechanism, tracheal trauma may be associated with trauma to nearby. Tracheal Injury Grading.
From www.optechtcs.com
Congenital Tracheal Stenosis Tracheal Autograft Technique Operative Tracheal Injury Grading the grading system ranges from level i (superficial laceration without mediastinal emphysema or esophageal. depending on the mechanism, tracheal trauma may be associated with trauma to nearby structures including. the aim of this chapter is to describe the different conditions leading to a tracheal injury with a focus on those. according to the schaefer classification system,. Tracheal Injury Grading.
From www.researchgate.net
Morphological and histological structure of trachea. a Changes in Tracheal Injury Grading the grading system ranges from level i (superficial laceration without mediastinal emphysema or esophageal. according to the schaefer classification system, the grade of tracheal injury may guide management decisions. the aim of this chapter is to describe the different conditions leading to a tracheal injury with a focus on those. depending on the mechanism, tracheal trauma. Tracheal Injury Grading.
From www.statpearls.com
Tracheal Injury Article Tracheal Injury Grading the major causes of tracheal injury include iatrogenic, blunt trauma, penetrating trauma, inhalation and. depending on the mechanism, tracheal trauma may be associated with trauma to nearby structures including. according to the schaefer classification system, the grade of tracheal injury may guide management decisions. the aim of this chapter is to describe the different conditions leading. Tracheal Injury Grading.
From aneskey.com
TRACHEAL AND TRACHEOBRONCHIAL TREE INJURIES Anesthesia Key Tracheal Injury Grading the major causes of tracheal injury include iatrogenic, blunt trauma, penetrating trauma, inhalation and. the aim of this chapter is to describe the different conditions leading to a tracheal injury with a focus on those. according to the schaefer classification system, the grade of tracheal injury may guide management decisions. depending on the mechanism, tracheal trauma. Tracheal Injury Grading.
From nurseinfo.in
TRACHEOBRONCHIAL INJURY Nurse Info Tracheal Injury Grading the major causes of tracheal injury include iatrogenic, blunt trauma, penetrating trauma, inhalation and. according to the schaefer classification system, the grade of tracheal injury may guide management decisions. the aim of this chapter is to describe the different conditions leading to a tracheal injury with a focus on those. depending on the mechanism, tracheal trauma. Tracheal Injury Grading.
From www.ncbi.nlm.nih.gov
Tracheal Injury StatPearls NCBI Bookshelf Tracheal Injury Grading the aim of this chapter is to describe the different conditions leading to a tracheal injury with a focus on those. according to the schaefer classification system, the grade of tracheal injury may guide management decisions. the grading system ranges from level i (superficial laceration without mediastinal emphysema or esophageal. the major causes of tracheal injury. Tracheal Injury Grading.